首页
Home
关于我们
About Us
公司简介
发展历程
资质证书
领军团队
组织架构
资质建设
Capacity Building
资质
工程中心
服务项目
Service Items
药物研发 >>
非临床药效学平台
小分子
大分子
非临床安全性评价研究平台
器械研发 >>
医疗器械临床前安全性及有效性
医疗器械生物学评价
动物影像中心
送检流程
服务外包与检验检测 >>
病理学
临床检验服务介绍
其他 >>
化妆品安全性和功效评价
食品安全性和功效评价
消毒产品安全性和有效性评价
实验场景
Experiment
功能实验室
实验动物
精尖仪器
媒体中心
Media Center
通知/公示
学术活动
行业动态
企业资讯
下载中心
加入我们
Join Us
员工风采
员工发展
社会招聘
校园招聘
诚聘英才
联系我们
Contact Us
关联企业
广纳院
SMILE
广纳院纳米产品服役性能检测中心
金蝶
金蝶系统
首页
关于我们
公司简介
发展历程
资质证书
领军团队
组织架构
资质建设
资质
工程中心
服务项目
药物研发
器械研发
服务外包与检验检测
其他
实验场景
功能实验室
实验动物
精尖仪器
媒体中心
通知/公示
学术活动
行业动态
企业资讯
下载中心
加入我们
员工风采
员工发展
社会招聘
校园招聘
诚聘英才
联系我们
BONKE
服务项目
Service Items
药物研发
器械研发
服务外包与检验检测
其他
首页
>
服务项目
>
服务外包与检验检测
>
临床检验服务介绍
病理学
临床检验服务介绍
临床检验服务介绍
Service outsourcing and inspection and testing
临床检验服务介绍
临检及免疫检测服务平台提供从样本处理到检测分析的一站式解决方案,在药物临床试验分析、疾病诊断、免疫治疗评估及 医疗器械验证等领域,为科研与临床提供精准、高效的检测服务。
核心服务项目
显微镜形态学检查
血液分析
生化分析
电解质分析
凝血分析
尿液分析
免疫分析
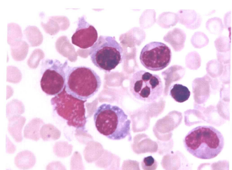
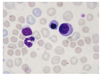
显微镜形态学检查
检测设备
显微镜形态学检查
/
可检测排泄物、分泌物、脱落细胞及动植物组织,涵盖血液、尿液、脑脊液等样本,通过瑞氏-吉姆萨、碘、S-M、革兰氏染色等方法快速识别病原体或异常细胞。
显微镜形态学检查
检测项目:
外周血细胞形态学检查
骨髓细胞形态学检查
尿液沉渣检查
粪便显微镜检查